神经外科实施机器人手术,精准诊疗迈入新高地

发布时间:2023-04-11 22:48:12.0 作者:管理员 字号:【大】 【小】 手机上看新闻

扫一扫,你会了解更多

【高水平医院建设】神经外科实施机器人手术,精准诊疗迈入新高地

任一轩 普宁市人民医院 2023-02-14 15:41 发表于广东

图片



图片

2023年新春伊始,

普宁市人民医院神经外科

“神经外科手术机器人”精准诊疗手术

引领着神经外科

正式迈进“机器人精准时代”


脑子里面还能进脓?很多人一听后都会非常诧异。家住普宁的陈老伯突发头痛发热随即抽搐不省人事3小时,家人急忙送到普宁市人民医院,急诊科查头颅ct提示右侧顶枕颞叶低密度影,拟抽搐查因收住我院神经内科。神经内科经完善核磁共振mr提示颅内脑脓肿可能性大,脑肿瘤待排除,请神经外科会诊后转入神经外科治疗。经黄雪钦副院长和王晓东主任医师查房讨论,结合病史和影像学检查判定陈老伯颅内的病变是脑脓肿的可能性较大。一听不是恶性肿瘤,家人喜出望外。黄雪钦副院长随后和家属进行深入的沟通,患者虽然恶性肿瘤可能性不大,但是脓肿病灶位于患者脑组织的深部,周围水肿严重,与侧脑室紧邻,一旦水肿继续加重或脓肿破入脑室,随时会有生命危险。家人听闻后陷入了深深的焦虑当中。黄雪钦副院长又耐心地向患者家属解释说,脑脓肿虽然也非常严重,但是经过积极精准的治疗预后也是非常好的。医院最近开展了神经外科机器人辅助手术,可以更加精准智能地实施微创手术清除脓肿。并详细交代了手术的获益和可能的风险,家属了解后决定行机器人辅助手术治疗。


图片

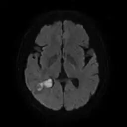
术前影像提示病灶深,紧邻侧脑室


图片


科室迅速组织术前病例讨论,大家一致认为核磁共振上脓肿已经有环状强化,说明脓肿已经局限,开颅手术创伤大、脓肿扩散风险高,机器人辅助立体定向穿刺为最佳手术方式。患者既往丙肝肝硬化多年,手术前,医院组织神经外科、神经内科、影像科、感染科、药学部、手术室、麻醉科等相关科室共同对患者病情进行了多学科会诊系统评估,为手术顺利完成保驾护航。


术前,谢树浩医师在患者头部贴上特制的标记后陪同前往CT室行头颅CT检查,在机器人手术计划系统上融合了患者的磁共振、CT等影像检查,避开了重要脑回、血管等重要结构,选择最佳的精准穿刺路径。在黄雪钦副院长指导下,王晓东主任医师治疗团队为陈老伯行机器人手术治疗。手术从机器人的注册、消毒、钻孔、置管一气呵成,置入引流管后,引流管内引流出大约6ml乳白色的脓液,明确了不是恶性肿瘤是脑脓肿的诊断,而且做到了精准无误的脓肿引流。术后陈阿伯清醒后拔除气管插管安返病房,复查头颅CT和mr显示脓肿清除满意。后期根据脓肿的细菌学检查进行下一步规范的抗感染治疗。

手术掠影


图片

导入患者数据术前精准注册


图片

图片

术前CT和MR多模态影像融合,设计最佳穿刺路径



黄雪钦副院长指导王晓东主任医师手术团队进行机器人手术


,时长00:14

机器人辅助手术


图片

置管后抽吸脓肿


图片

图片

术中抽出的部分脓液



术后影像提示病灶脓肿大部分消除


,时长00:08

患者康复良好,自主活动


黄雪钦副院长介绍,脑脓肿是指化脓性细菌侵入脑实质后引发的局部炎症并形成脓肿的一类疾病。脑脓肿常发生于年老、 糖尿病、自身免疫功能障碍患者,其对脑组织造成直接破坏,破溃后可引起广泛脑膜炎或脑室炎,死亡率高,并可造成严重的神经功能障碍或残疾。该病人我们使用机器人立体定向下穿刺,具有微创、精准、高效的优点,减少了患者出血、脓肿破入脑室等风险。


黄雪钦副院长介绍,机器人手术可以由主刀医生将患者的颅脑影像数据导入机器人,设计最佳治疗路径。经过手术医生审核、校正后,即可进行手术流程模拟。术中,机器人根据拟定手术方案,自动实施精确手术空间定位,引导医生精准快速完成手术,甚至可通过仅1个绿豆粒大(2-4毫米)的小孔实施精准的穿刺/活检手术。


我院神经外科率先在普宁地区开展神经外科机器人手术,接下来神经外科治疗团队将充分利用机器人这个有力的武器开展更多的神经外科手术,如帕金森病等运动障碍性疾病的DBS植入手术、脑病灶活检术、三叉神经痛半月节球囊压迫术、颅内血肿清除术等,实现精准治疗的目的。期待机器人给我们带来更多的惊喜,为更多的病人的健康保驾护航!

历史推荐


● “普宁市人民医院”微信公众号预约、缴费系统正式上线

● 中共普宁市人民医院医共体总院第一次代表大会胜利召开

● 普宁市人民医院名列广东省新增20家高水平医院榜单

● 我院被省委、省政府授予“广东省先进集体”荣誉称号

● 普宁市人民医院自助挂号机上线,挂号、缴费只需十几秒


图片


图片

好看的人都“在看”!!